The Terrifying Consequences of #Fournier Gangrene: A Necrotic Nightmare. #penis_gangrene
Fournier_gangrene, is a polymicrobial necrotizing fasciitis of the perineal, perianal, or genital areas. Localized infection adjacent … source
Fournier_gangrene, is a polymicrobial necrotizing fasciitis of the perineal, perianal, or genital areas. Localized infection adjacent … source
Magandang araw mga bata! Ang video na ito ay tumatalakay sa GAMOT PARA SA DIABETES. 1. Ano ang epekto at side … source
Let’s Talk Live Webinar: Diabetes – Prevention & Care Dainik Jagran-inext की Let’s Talk वेबिनार सीरीज में इस … source
Discover The Deadly Green Veggie Now. https://tinyurl.com/type2diabetesfoodseat Do You Want To See The Lethal Veggie, … source
Watch▻ Diabetic Neuropathy Signs And Symptoms | DR Krishna Reddy | ORANGE HEALTH #Orangehealth … source
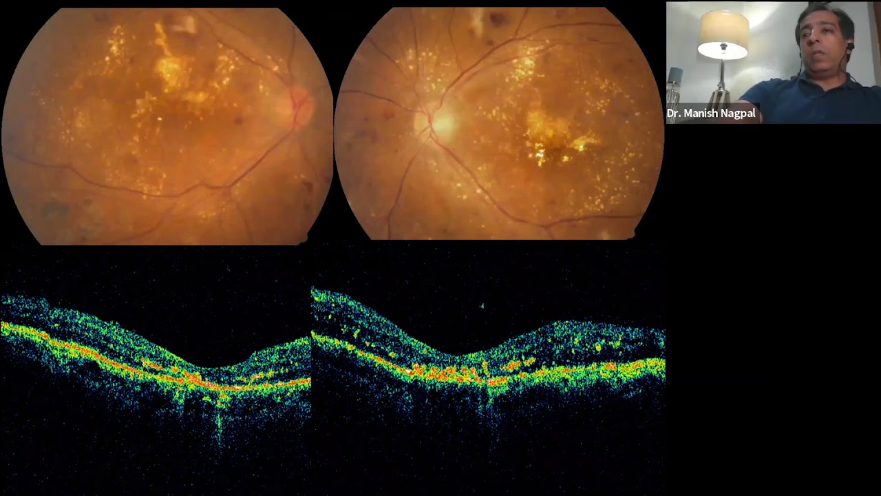
This presentation will discuss the clinical aspects of treatment for diabetic retinopathy including the role of Lasers, Anti-VEGFs, … source
THE WHITE ARMY #VentureVithViva #Rendezvous with Retina Group Viva Session on Diabetic retinopathy and Retinal Vascular … source
Full video: https://youtu.be/szDvZ8gYnhQ #nclex #nursing #nursingstudent #exam #nextgennclex. source
Asalam o Alekum Everyone ! Welcome to the world of Med Ed (Medical Education). This video is about Diabetic Ketoacidosis DKA … source
Healthy Breakfast / Granola without Dry fruits or sugar is for Diabetic and those who want toloose weight. This is a nutritious … source